肺分画症は,正常な気管─気管支系と交通を持たな い異常肺組織を有する先天性疾患であり,肺葉内分画 症と肺葉外分画症とがある1,2). 近年,ct等の画像診断の進歩に伴い肺分画症の術 前診断は比較的容易となってきた3).しかし術前に異肺分画症画像診断シリーズ14 今回の画像診断シリーズは 肺分画症 について 肺分画症(pulmonary sequestration) 肺分画症は、正常な気管支や肺動脈との交通がない異常な肺組織 からなり、体循環系の動脈支配を受ける嚢胞性病変である。 稀な疾患で、先天性肺疾患の5%を占める。肺分画症 関連記事数2記事 記事にご協力いただいた先生1名 非結核性抗酸菌症 関連記事数6記事 記事にご協力いただいた先生2名 慢性気管支炎 関連記事数2記事 記事にご協力いただいた先生2名 特発性肺線維症 関連記事数1記事 記事にご協力
肺腺癌是什麼 一次了解肺腺癌症狀 治療以及如何預防 康健知識庫
肺分画症 画像診断まとめ
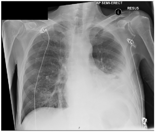
肺分画症 画像診断まとめ->画像所見 : 胸部単純 x 線写真正面像では右下肺内側が暗くなっており、右心第 2 弓の輪郭が不明瞭(シルエットアウト)。 側面像では肺門部から前肋横角に向かう紡錘形の陰影(↓)がみられる。 >診断 : 中葉無気肺 >解説 : 無気肺化した中葉は正面単純写真では右心第 2 弓を底辺と 肺分画症手術後、病理診断で肺腺がん発覚。 StageⅠB期 33歳。突然の「がんサバイバー」として病気と向き合う。 手術後の経過と備忘録。自分の気持ちを整理するためにありのままの思いをつづってみます。 日常記録も書きます。気まぐれ不定期更新です。



先天性疾患 他 肺分画症類似疾患 画像診断 34巻11号 医書 Jp
胸膜肺芽腫のType Iはcongenital pulmonary airway malformation (CPAM)、肺外分画症、気管支原性嚢胞等の先天性嚢胞性疾患との関連が論じられているところである。 その他の徴候 診断 原則として、病理組織学的検査により診断する。画像診断・放射線治療ビジュアルナーシング 分担項目名「第4章 検査画像の見方 x線画像の見方 ③胸部(肺, 縦隔)」「第4章 検査画像の見方 ct画像の見方 ③胸部(肺, 縦隔, 乳腺, 食道)」 編集:坂井 修二, 唐澤 久美子 学研メディカル秀潤社 19年肺血管陰影の増強+チアノーゼなし 心室中隔欠損症(ventricular septal defect:VSD) (髙田) 290 肺血管陰影の増強+チアノーゼあり 完全大血管転位 ( complate transposition of the great
それにより若干の自覚症状と画像所 見の改善が認められるが、長期的には、生命 予後の改善はできないばかりか、かなりの症 例では副作用の発現のために予後不良となる 場合が多い(図8)。今後はピルフェニドンも 第一選択薬となり得ると思われる。 図8:特発性肺線維症の治療例 急性内科学 第10版 肺分画症の用語解説 (2)肺分画症(bronchopulmonary sequestration)概念 肺分画症は,その血流を体循環系から受け,肺実質の一部が正常肺から分離された肺の奇形であり,隣接肺との関係から肺葉内分画症と肺葉外分画症に分けられる.肺葉内分画症は分画肺が隣 肺分画症の 3dct による異常動脈の描出 21(665) が,そ れらは基本的には二次元的画像である 生体を非連続的,立体的にスキャンするヘリ カルスキャンを用いた,血管の3次元的画像化 法が開発され13),肺分画症の異常動脈の診断に
画像診断q&a 遠藤 俊輔 , 野首 光弘 胸部外科 65(6), , 16 被引用文献1件 8 血清ca199などの腫ようマーカーが上昇した肺分画症の1例 ★★★気管支閉鎖症、肺分画症 画像が提示され、これらが1つの問題の中で選択肢となっておりどれか一つ選ぶような問題が頻出となっています。 解答が割れ問になることもあるのですが、問題としては出しやすいのでそれぞれの疾患概念・画像、特に それぞれの違い は把握しておいた方オーダーの解釈と撮影・撮像技術 四肢・体幹 筆頭著者 工藤 與亮(監修) 杉森 博行 (編集) メジカルビュー社 電子版isbn 電子版発売日 21年8月17日 ページ数 464 判型 b5 印刷版isbn 印刷版発行年月 21年8月



查出肺结节 哪3种需要动手术 医生用ct片举例说明



支气管扩张 Doctors Australia
呼吸器領域の画像解剖と症例 兵庫医科大学放射線科 小林薫 第4回兵庫県放射線技師会読影セミナー 平成28年12月17日 本日の内容 •胸部単純x線写真について –基本的事項 •胸部ct:読影に必要な解剖について –肺野区域解剖 •各種症例の画像と読影のポイント –肺炎 –胸膜/胸壁疾患 –その陰嚢水腫、Nuck水腫 臍腸管遺残・尿膜管遺残 胚細胞性腫瘍 肺分画症 肥厚性幽門狭窄症 ヒルシュスプルング病 副耳 腹壁破裂 便秘 肺分画症の画像所見 肺底部に多房性嚢胞〜充実腫瘤 として認められる。 大動脈から分岐する異常血管を見つける ことが診断に有用。 ご案内 腹部画像診断を学べる無料コンテンツ 4日に1日朝6時に症例が配信され、画像を実際にスクロールして読影していただく講座です。現状無料公開



肺分画症 獨協医科大学埼玉医療センター小児外科



成都市第三人民医院 官方网站
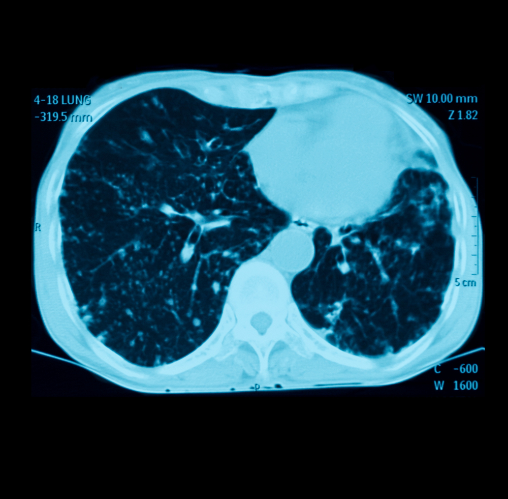
縦隔腫瘍、CCAM、肺分画症 著者 Author(s) 藤岡, 一路 / 芳本, 誠司 掲載誌・巻号・ページ Citation 周産期の画像診断 第二版,周産期医学 / 周産期医学編集 委員会編, Vol 43, 13 増刊号4486 刊行日 Issue date 1312 資源タイプ Resource Type Journal Article / 学術雑誌論文 版区分 Resource Version publisher 権利 Rights DOI肺分画症 硬化性血管腫 肺動静脈瘻・奇形 特発性肺線維症(ipf) 60歳過ぎた男性 60%以上 ほとんどの治療法は無効 死亡率は5年で50~70% 呼吸細気管支炎関連間質性肺疾患(rbild) 40~50歳 (やや男性に多い) 90%以上 禁煙、ステロイド 死亡はまれ 上に戻る 胸部レントゲン写真の所見別VR 画像を作成することで、さらに血管走行の詳細がはっきりする。 >診断 : 肺分画症( intralobar pulmonary sequestration ) >解説 : 分画肺は大動脈から分岐する異常動脈から血流を受け、以下の 2 型に分類される。原則として正常気管支とは交通がない。



肺分画症 ピクトグラムでわかる呼吸器内科



新冠病毒到底对患者的肺做了什么 肺部 Ct 新冠肺炎 新浪科技 新浪网
行うことなく肺静脈瘤の診断と肺分画症の異常 血管の同定に有用な画像を得ることができる。 キーワード:3列adct、ダイナミック4dct、肺静 脈瘤、肺分画症 背景 ct検査の撮像時間はヘリカルスキャンの開発と検 出器の多列化により、飛躍的に短縮された療・介護関連肺炎(NHCAP ) 39/アスペルギルス感染症の病型 45/慢性進行性肺アスペルギルス症の危険因子 47/reversed halo sign51/免疫が低下した宿主の結核 61/肺結核症の分類 61/肺結核症のリスクファク ター 63/中枢気道狭窄を来す疾患 67肺底区動脈大動脈起始症 (Pryce I型肺分画症) の1例特に併走する気管支の変化と, 肺切除の必要性の有無について 平田世雄 日胸 58, , 1999 被引用文献2件



肺大泡到底应该怎么治 知乎



老人突然昏迷倒地 竟然是肺中风 从未听说过的病 下肢
肺葉内肺分画症の画像診断への寄与 松島 秀和 1)高柳 昇 生方 幹夫 徳永 大道 佐藤 長人 1)倉島 一喜 柳沢 勉 杉田 裕1) 星永進2) 河端 美則3) 金沢 実1) 要旨:自験の肺葉内肺分画症12例において,胸部ct所見を検討した.分画肺を気管支構造の性状と肺野(congenital cystic adenomatoid malformation;CCAM),肺分画症などの先 天性疾患を背景にした治療抵抗性の感染症もあり,注意すべき疾患である。 また,肺炎から肺膿瘍や膿胸への進展,肺出血,肺梗塞,血管炎の合併の有無も考慮 する。ある程度これらの可能性が除外できたと判断されたら非 肺分画症とは、正常な空気の通り道(気管支)と交通がなく、肺動脈ではなく大動脈からの血液で栄養される異常な構造の肺のことを指します。肺は空気中の酸素を身体に取り込み、体外に二酸化炭素を排出する役割を持つ臓器です。そのため、肺が正常にはた療・介護関連肺



Radiology 新冠肺炎轻症患者第10天肺部病变最重 Medsci Cn



先天性疾患 他 肺分画症類似疾患 画像診断 34巻11号 医書 Jp
真の全肺灌流画像を得ることは64列 前マッピング,新生児肺分画症,肺毛細 血管腫症(pulmonary capillary hemangiomatosis)の画像を供覧しながら,診 断における有用性について概説する。 造影64列MDCTが 有用な胸部疾患 造影64列MDCTが有用な胸部疾患 として,肺動脈血栓,肺動静脈奇形,



病例 慢性淋巴细胞白血病心脏浸润和冠脉闭塞继发的急性冠脉综合征 腾讯新闻



2



体内窗口与新冠肺炎 Iaea



3月 科学 流言榜 新冠病毒出了家庭版自测试剂盒 消毒越干净就越安全



仇子龙知己知彼 你必须知道关于病毒的秘密 中国科学院脑科学与智能技术卓越创新中心



肺實質切除 Lung Parenchymal Resection 小小整理網站smallcollation



肺分画症 画像診断シリーズ14 鹿児島市の脳神経外科 ひらやま脳神経外科



肺的双重血供解剖图第1页 驾考预约大全



肺分画症 内科医がアジアをめざすブログ



心脏



診断困難な石灰化を伴う肺葉外肺分画症の1例 胸部外科 70巻7号 医書 Jp



老人家的 肺 就一定弱吗



肺腺癌是什麼 一次了解肺腺癌症狀 治療以及如何預防 康健知識庫



职业性肺部疾病 Doctors Australia



2



健康刊物 全民健康基金會



胸腔鏡補助下に異常動脈部分切除を行った肺分画症 胸部外科 60巻9号 医書 Jp



肺分画症 獨協医科大学埼玉医療センター小児外科



肺炎症状



日々の症例 143 肺分画症 Intralobar Pulmonary Sequestration



肺分画症 獨協医科大学埼玉医療センター小児外科



呼吸系统疾病和紊乱



19冠状病毒病 维基百科 自由的百科全书



下葉の異常分葉を伴った右肺葉外肺分画症の1例 胸部外科 58巻2号 医書 Jp



西雅图危重新冠研究 插管时间长 瑞德西韦疗效尚无足够信息 科技湃 澎湃新闻 The Paper



硬皮症有7 成會併發肺部疾病 醫界傳好消息 終於有藥可醫 Heho健康



解答 解説 血痰を主訴に来院した70歳代男性 実践 画像診断q A 羊土社 レジデントノート 実践 画像診断q A 羊土社 レジデントノート 羊土社



体内窗口与新冠肺炎 Iaea



肺痛位置



肺分画症 獨協医科大学埼玉医療センター小児外科



头条文章



肺分画症 獨協医科大学埼玉医療センター小児外科



肺分画症とは コトバンク



國立臺灣大學醫學院附設醫院新竹臺大分院新竹醫院 新聞稿



皮膚變硬 肺纖維化硬皮症懶人包 照護線上



省市媒体 怪事 多长了个肺 中山大学附属第五医院



自體免疫危機 認識失控的肺纖維化



肺分画症の新着記事 アメーバブログ アメブロ



仇子龙知己知彼 你必须知道关于病毒的秘密 中国科学院脑科学与智能技术卓越创新中心



肺分画症 Kompas



氣胸 仁安醫院



病29 肺分画症疑惑 猫の手貸して Powered By ライブドアブログ



肺分画症とは 肺葉内か肺葉外かで症状や治療法が異なる メディカルノート



Revine Clinic 冠病患者手尾长 肺部惨过老烟枪 而且 不只是重症者 一些没有症状的或者轻症的 也可能会留下一定程度的肺部损伤 一旦肺部发生纤维化 什么传统治疗都没办法逆转 间充质干细胞有效逆转肺部损伤 Msc有效调节免疫反应



磕磕碰碰勿大意 小心肺栓塞偷袭 健康科普 护理园地 阜外华中心血管病医院



查体时6岁娃肺内有 异常血管影 专家提醒 这种病应警惕 妇儿医院



Covid 19中的低白蛋白血症 评估潜在的肺毛细血管渗漏假说 Journal Of Internal Medicine X Mol



肺切除术后疑似纤维蛋白胶致急性嗜酸性粒细胞性肺炎一例 Thoracic Cancer X Mol



肺气肿 搜狗百科



2



肺血栓栓塞症 哈尔滨市第二医院



解答 解説 血痰を主訴に来院した70歳代男性 実践 画像診断q A 羊土社 レジデントノート 実践 画像診断q A 羊土社 レジデントノート 羊土社



病28 肺分画症疑惑 猫の手貸して Powered By ライブドアブログ



高齢者肺葉内肺分画症の1例 胸部外科 61巻9号 医書 Jp



横浜市大外科治療学呼吸器グループyokohama Consortium Of Thoracic Surgery Ycts 照片 Facebook



新冠病毒到底对患者的肺做了什么 肺部 Ct 新冠肺炎 新浪科技 新浪网



支气管扩张会转化成癌症吗 反复的感染到底会不会促进肺癌发生



19冠状病毒病 维基百科 自由的百科全书



运动疗法让肺变好 3种复健运动 改善肺功能 肺部疾病 有氧运动 呼吸 大纪元



症例0 肺葉内肺分画症 Ct 症例 肺 X線写真



先天性肺疾患を考える 皿谷健 18年 記事一覧 医学界新聞 医学書院



胸腔鏡補助下手術で切除を行った肺葉内肺分画症の1例 胸部外科 60巻13号 医書 Jp



宝鸡市中医医院icu Ricu成功救治0斤 大白肺 患者 罗大爷



先天性肺疾患を考える 皿谷健 18年 記事一覧 医学界新聞 医学書院



聽過肺纖維化嗎 肺泡受傷的症狀 別輕忽後續的保養和治療 康健知識庫



肺良性疾患 診療案内 信州大学 医学部外科学教室 呼吸器外科学分野



肺葉内肺分画症に対する分画肺切除 胸部外科 64巻12号 医書 Jp



肺分画症の血管走行 Note Of Pediatric Surgery



肺栓塞 Doctors Australia



症例084 肺葉外肺分画症 Ct 症例 X線写真 アトラス



解答 解説 血痰を主訴に来院した70歳代男性 実践 画像診断q A 羊土社 レジデントノート 実践 画像診断q A 羊土社 レジデントノート 羊土社



经常反酸水 来认识一下胃食管反流健康课堂 北京天坛医院



Ppt 肺隔离症 影像ppt



人体最重要的呼吸器官 肺 知乎



呋塞米片狗狗猫咪利尿药肺心病心脏肥大心衰肾衰竭腹膜炎腹水传腹



病案 防水喷雾吸入引起的急性呼吸性窘迫症



二手烟 Tobacco Atlas



急性呼吸窘迫综合征和肺保护性通气策略 中国医疗



日々の症例 143 肺分画症 Intralobar Pulmonary Sequestration



新型冠状病毒343 解剖 肺实变 湍流 语音震颤 肺大叶 知乎



新冠肺炎患者肺功能不可恢复 中国数字科技馆



Visible Body 生理和病理学 促销 Youtube



肺分画症とは 肺葉内か肺葉外かで症状や治療法が異なる メディカルノート



健康刊物 全民健康基金會



鍾沛君右肺異常開刀醫師告訴你肺結節到底是不是肺癌 肺癌 癌症 元氣網



健康辟谣日历 肺结节越多 肺癌可能性越高 冯颖



肺癌晚期



健康刊物 全民健康基金會



肺气肿呼吸困难程度如何分级 肺的呼吸功能判断一共分为五个等级 简书



王庆东on Twitter 肺分画症https T Co Irlotwaotr



肺分画症 獨協医科大学埼玉医療センター小児外科



圧倒的画像数で診る 胸部疾患画像アトラス 典型例から応用例まで 00画像で極める読影力 羊土社



比肺癌還可怕 肺纖維化難逆轉 6種常見原因會引發這種 不治之症 Heho健康



2

0 件のコメント:
コメントを投稿